vectorial 11

Muñeca

vectorial 5

La muñeca es una articulación fundamental para casi todos los movimientos de la mano. Su complejidad y la gran cantidad de ligamentos, tendones y estructuras que la componen hacen que pueda verse afectada por múltiples lesiones y enfermedades. En delamanoalcodo tratamos las patologías de la muñeca con un enfoque integral, buscando siempre recuperar la función y aliviar el dolor de forma duradera.

Patologias de muñeca mas comunes

 

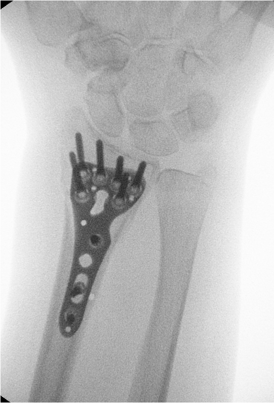
  • Fracturas de muñeca 

  • Pseudoartrosis del escafoides (cuando la fractura no consolida correctamente)

  • Inestabilidades ligamentosas de la muñeca (lesiones del ligamento escafolunar o lunopiramidal)

  • Artrosis de la muñeca (postraumática, degenerativa o secundaria a lesiones previas)

  • Quistes sinoviales (gangliones) en el dorso o cara palmar de la muñeca

  • Tendinitis de De Quervain (dolor en la cara radial de la muñeca y pulgar)

  • Síndrome del túnel carpiano (compresión del nervio mediano en la muñeca)

  • Síndrome del canal de Guyon (compresión del nervio cubital en la muñeca)

  • Lesiones deportivas de la muñeca (sobrecargas, microtraumatismos repetitivos)

  • Infecciones agudas o crónicas de la muñeca

  • Secuelas de traumatismos o cirugías previas (rigidez, dolor persistente, limitación de movilidad)

Logos de las entidades cuyo proyecto es financiado por la Unión Europea – NextGenerationEU

«Financiado por la Unión Europea – NextGenerationEU. Sin embargo, los puntos de vista y las opiniones expresadas son únicamente los del autor o autores y no reflejan necesariamente los de la Unión Europea o la Comisión Europea. Ni la Unión Europea ni la Comisión Europea pueden ser consideradas responsables de las mismas»